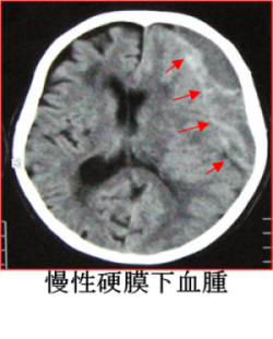
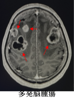
ホーム » 診療科 » 脳神経外科
26年1月から標榜になり、診察が始まります。詳細については、もうしばらくお待ちください。
診療に関しては、診療カレンダーをご覧ください。
初めてあづみ病院を受診される方は、こちらをご確認ください。
予約の方、再診の方、以前にもかかったことのある方は、こちらをご確認ください。
入院の手続きや面会時間などは、こちらをご確認ください。
〒399-8695長野県北安曇郡池田町大字池田3207番地1
大きい地図でみる
※受付時間・診療開始時間は診療科によって異なります。 詳しくは 診療あんない をご覧ください。
代表0261-62-3166